Before & Afters

Real Patient Transformations

Changing Lives, One Smile At A Time

Many patients step into our practice with dreams of a brand new grin. Others are looking to repair damage and get their oral health back on track. Seeing these individuals walk out of our doors with a strong smile and newfound confidence is the reason behind our mission here at Gardens Dentistry. No matter your goals, we’re honored to be a part of your oral health journey. Take a look at our Before & After gallery to explore real patient stories!

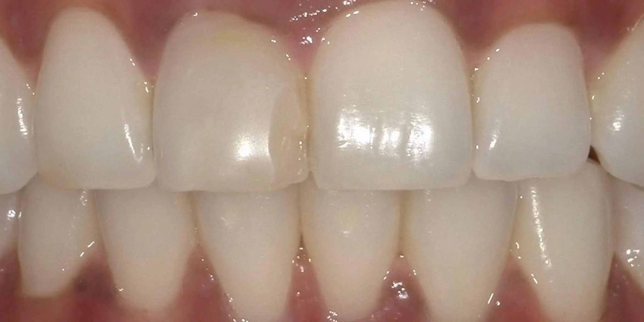
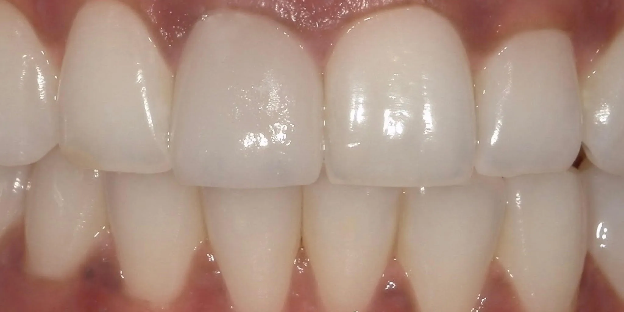
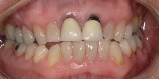
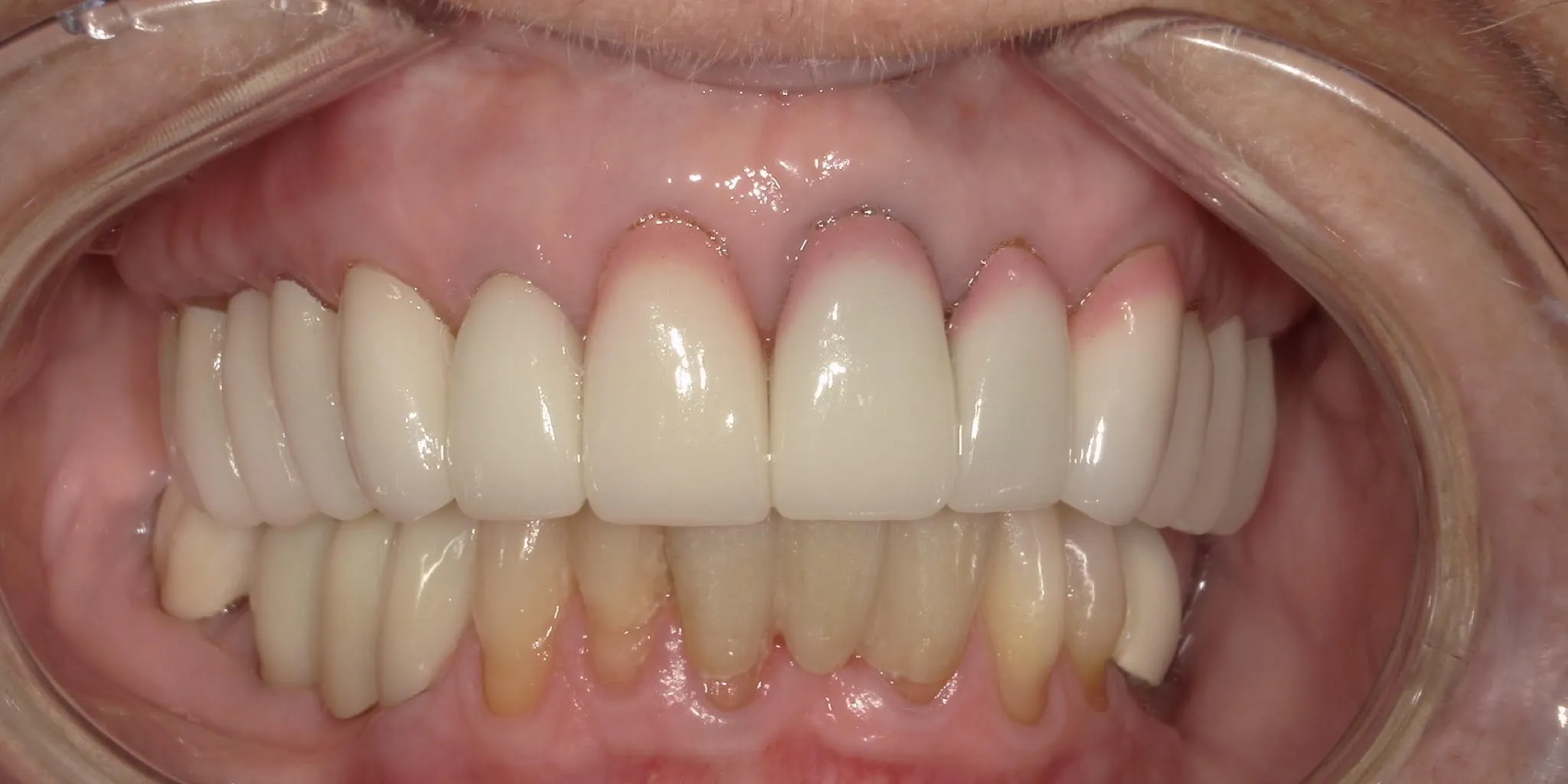
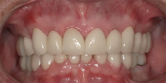
Full Mouth Rehab Before Full Mouth Rehab After
Full Mouth Rehab
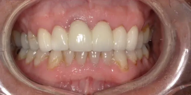
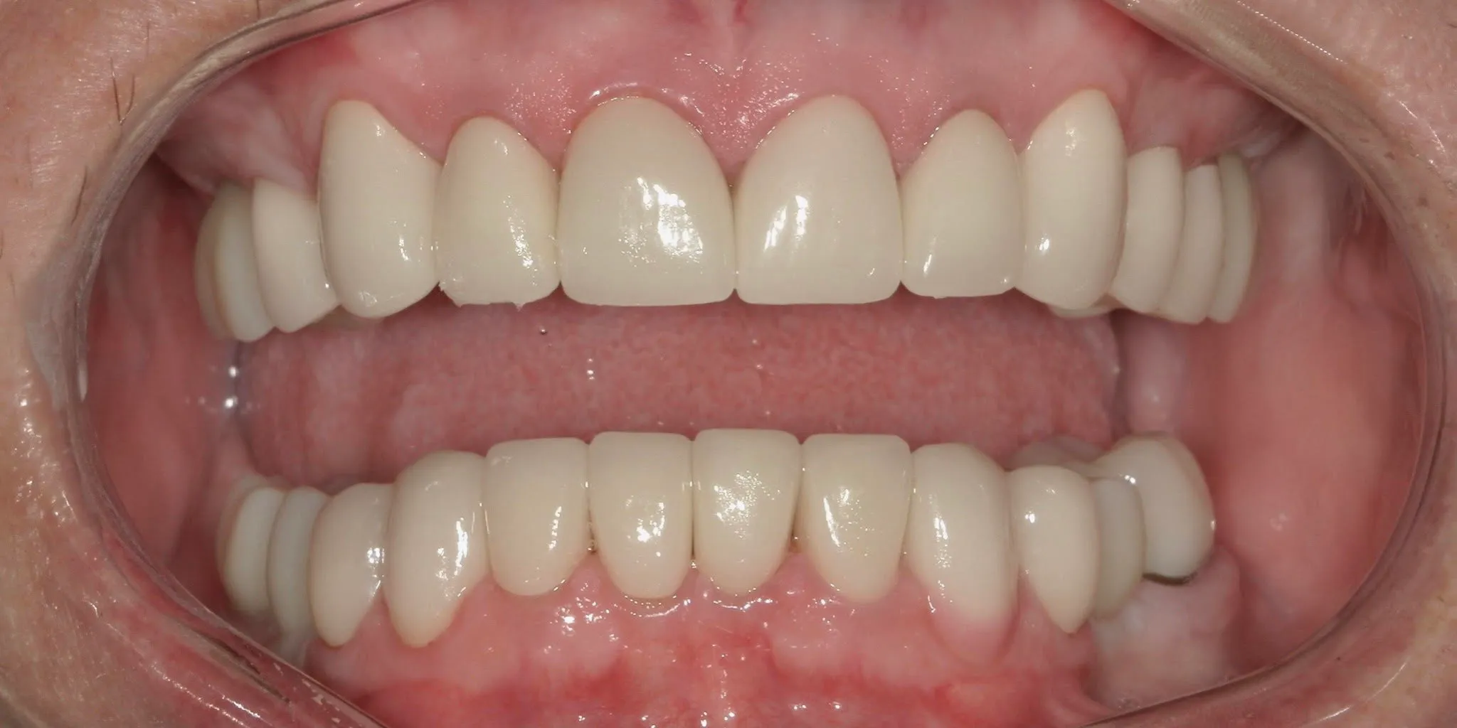
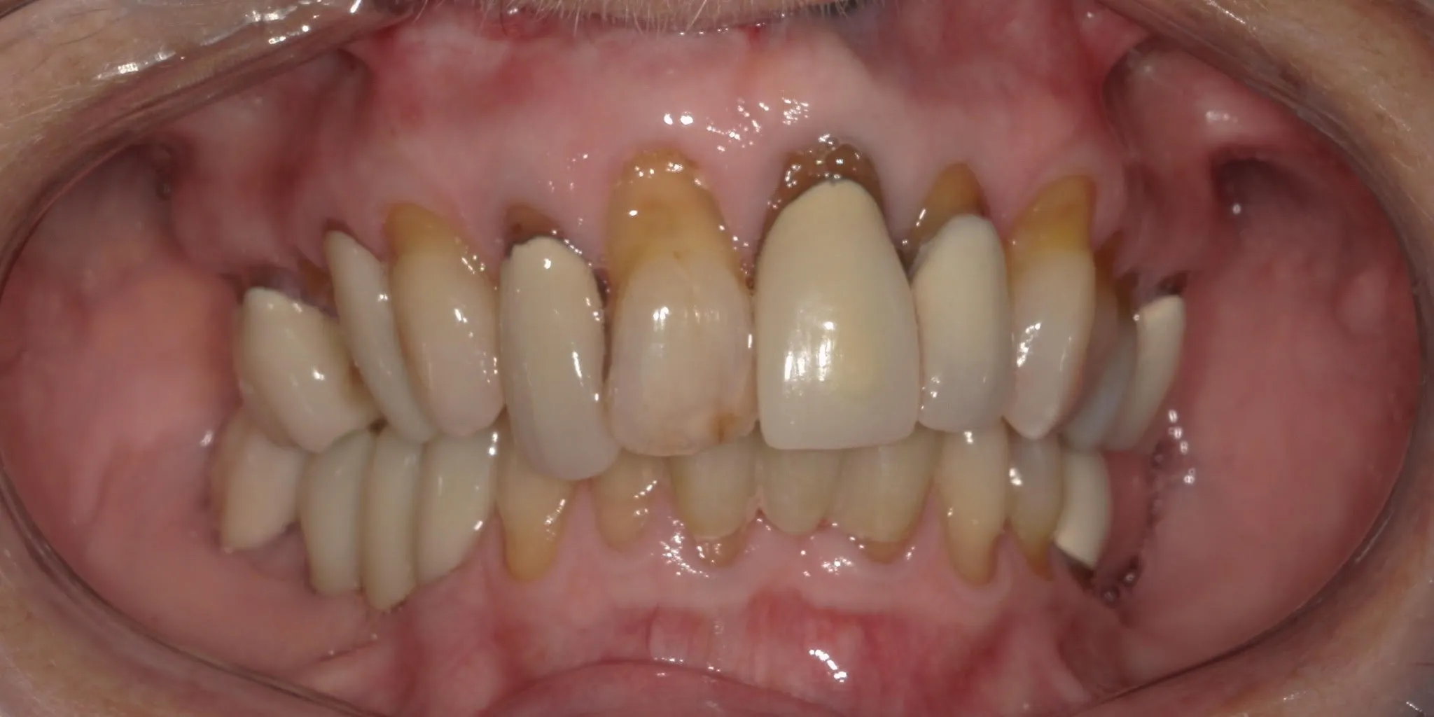
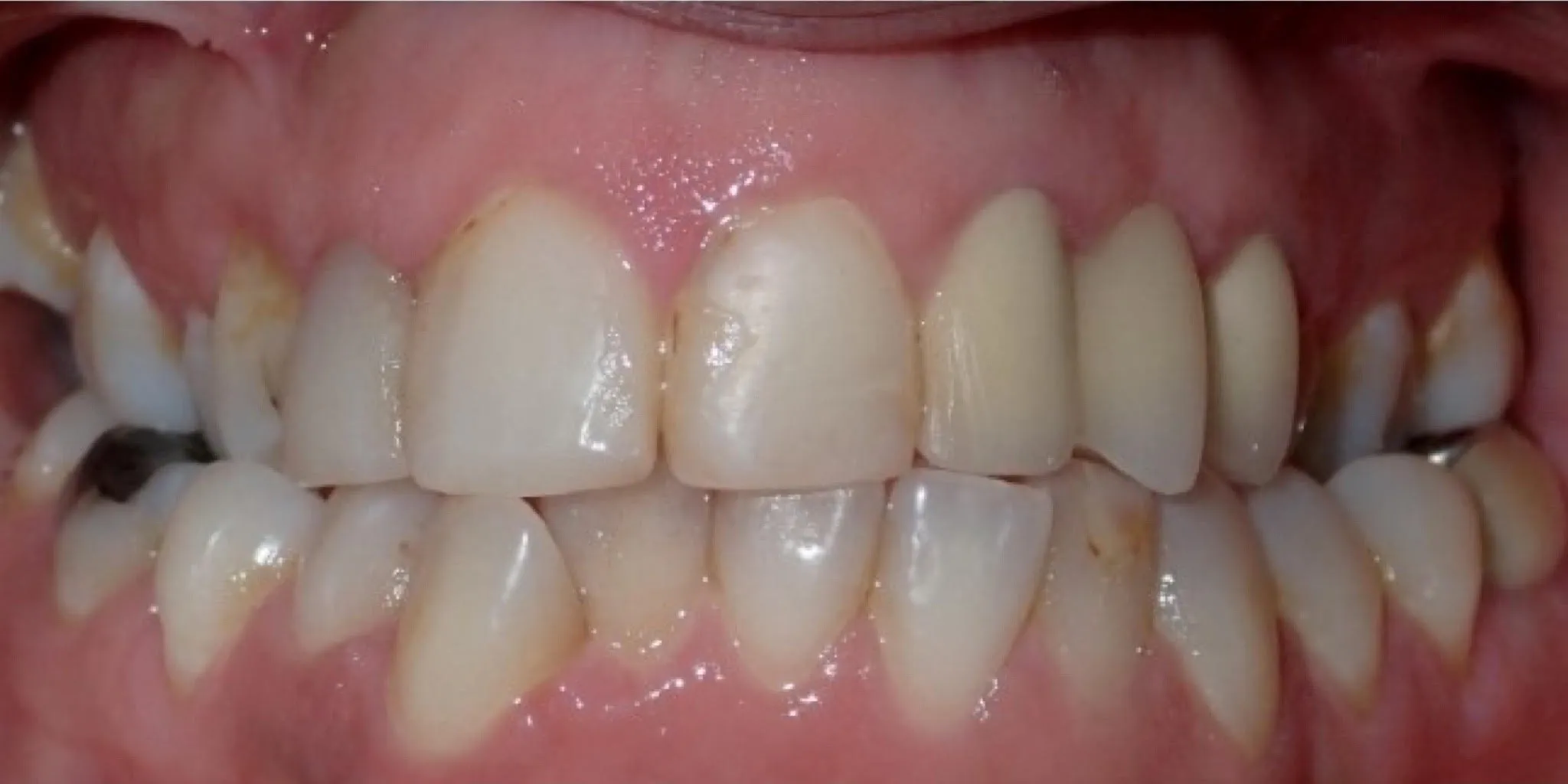
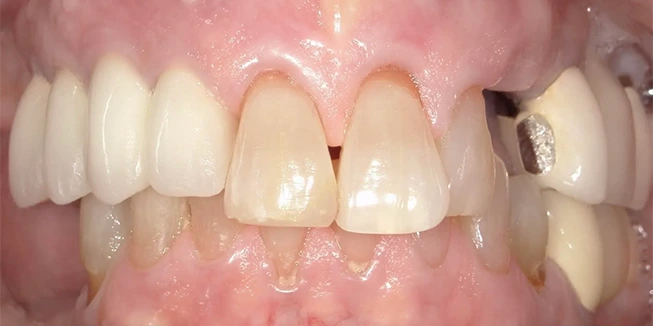
Full Mouth Rehab Before Full Mouth Rehab After
Full Mouth Rehab
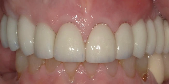
Full Mouth Rehab Before Full Mouth Rehab After
Full Mouth Rehab
Full Mouth Rehab Before Full Mouth Rehab After
Full Mouth Rehab
Full Mouth Rehab Before Full Mouth Rehab After
Full Mouth Rehab
Full Mouth Rehab Before Full Mouth Rehab After
Invisalign
Full Mouth Rehab Before Full Mouth Rehab After
Single Tooth Makeover
Full Mouth Rehab Before Full Mouth Rehab After
Smile Makeover
Full Mouth Rehab Before Full Mouth Rehab After
Upper Anterior Makeover
Full Mouth Rehab Before Full Mouth Rehab After
Upper Arch Makeover
Full Mouth Rehab Before Full Mouth Rehab After
Upper Arch Rehab

Get In Touch

Schedule an Appointment

**Requested time is not final until you receive confirmation from our office.Please do not submit any Protected Health Information (PHI).

"*" indicates required fields

MM slash DD slash YYYY
AM/PM