AI Drive Digital X-Rays
in Palm Beach Gardens, FL

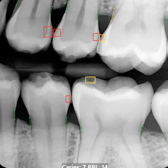
Digital x-rays are safe, quick, and comfortable. Using the latest technology, we can create crisp, high-resolution images of your mouth’s structure, so we can make accurate diagnoses and treatment plans. Digital x-rays use only a fraction of the radiation as traditional film x-rays, so you can rest easy. Most patients receive one or two full sets of x-rays every year, but we may recommend additional imaging in the case of a dental emergency, or if we find an oral health issue that we need to investigate further. And with our CBCT scanner, there’s no more guesswork, only great results.

Dental X-Rays
Our cone beam computed tomography scanner takes dental imaging to the next level by capturing detailed 3D views of your teeth, jawbone, nerves, and surrounding tissues in a single scan. This advanced technology allows our team to plan complex procedures like dental implants with pinpoint precision, identify hidden issues that traditional x-rays might miss, and visualize your entire oral anatomy from every angle. The scan takes just seconds to complete and provides invaluable information that helps us deliver more predictable outcomes and personalized care tailored to your unique needs.

Did You Know...

Our membership plan includes a full set of radiographs each year? No insurance, no problem—quality diagnostics at one affordable annual cost.

Ready to
schedule your appointment?

Get In Touch

Schedule an Appointment

**Requested time is not final until you receive confirmation from our office.Please do not submit any Protected Health Information (PHI).

"*" indicates required fields

MM slash DD slash YYYY
AM/PM